B-Tspan12 KO mice

C57BL/6JNifdc-Tspan12tm1Bcgen/Bcgen • 113972

B-Tspan12 KO mice

Product nameB-Tspan12 KO mice
Catalog number113972
Strain nameC57BL/6JNifdc-Tspan12tm1Bcgen/Bcgen
Strain backgroundC57BL/6JNifdc
NCBI gene ID269831 (Mouse)
AliasesTm4sf12; 9030619E17

이 페이지에서

  • Description
  • Targeting strategy
  • Phenotypic analysis

포스터

모두 보기

    출판물

      Description

      Background:

      • TSPAN12 (tetraspanin 12) is a key component of the Norrin/FZD4/LRP5 signaling pathway, which is essential for normal retinal vascular development and the integrity of the blood‑retinal barrier (BRB).
      • Loss-of-function mutations in TSPAN12 lead to familial exudative vitreoretinopathy (FEVR), with either autosomal dominant or recessive inheritance, characterized by retinal vascular hypoplasia, peripheral avascular zones, neovascularization, exudation, and retinal detachment.

      Targeting strategy:

      • The exons 4-9 of mouse Tspan12 gene were knocked out in B-Tspan12 KO mice.

      Verification: 

      • Mouse Tspan12 mRNA was only detectable in wild-type mice but not in homozygous B-Tspan12 KO mice.
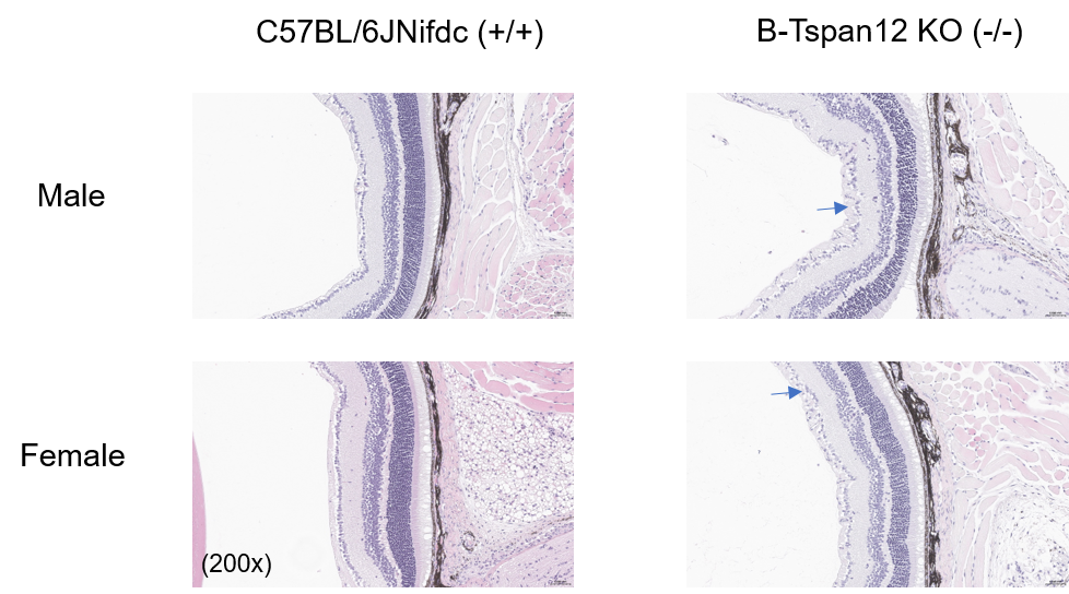
      • B-Tspan12 KO mice exhibited cellular degeneration and disorganization in the internal limiting membrane (ILM) and ganglion cell layer (GCL) compared with C57BL/6JNifdc mice.

      Application:

      This product can be used in the pharmacodynamic evaluation of familial exudative vitreoretinopathy (FEVR) and retinal diseases related to blood‑retinal barrier (BRB) dysfunction

      Targeting Strategy

      Gene targeting strategy for B-Tspan12 KO mice. The exons 4-9 of mouse Tspan12 gene were knocked out in B-Tspan12 KO mice.  

      mRNA Expression Analysis

      Strain specific analysis of mPde6b mRNA expression in wild-type C57BL/6JNifdc mice and B-Tspan12 KO mice by RT-PCR. Eye RNA was isolated from wild-type C57BL/6JNifdc mice (+/+) and homozygous B-Tspan12 KO mice (-/-), then cDNA libraries were synthesized by reverse transcription, followed by PCR with mouse Tspan12 primers. Mouse Tspan12 mRNA was only detectable in wild-type mice but not in homozygous B-Tspan12 KO mice.

      H&E Staining of B-Tspan12 KO Mice

      Representative images of HE staining of wild-type C57BL/6JNifdc mice and B-Tspan12 KO mice. Eyes of wild-type C57BL/6JNifdc mice (+/+) and B-Tspan12 KO mice (-/-) (6 weeks old, male/female) were collected and analyzed with H&E staining. The results showed cellular degeneration and disarrangement in the internal limiting membrane (ILM) and ganglion cell layer (GCL) in B-Tspan12 KO mice compared to the C57BL/6JNifdc mice.

      * When publishing results obtained using this animal model, please acknowledge the source as follows: The animal model [B-Tspan12 KO mice] (Cat# 113972) was purchased from Biocytogen.